注意幼兒 黴漿菌肺炎 (非典型性肺炎)
(Mycoplasma Pneumonia)
感染黴漿菌肺炎的病童,最近在兒科門診持續不斷,家長如果發現孩子出現頓音型咳嗽、發燒久久不癒,應盡早就醫檢查。
「黴漿菌肺炎』是經由飛沫感染黴漿菌所致,一年四季,都可見到。每天春、夏之交及秋天,病例即顯著增加,尤以二至三歲和五至十歲兩個年齡層的病童居多,較少見於二歲以下的兒童。它的潛伏期可長達三、四週,一般需要較親密及較久的接觸才容易得到。因此,臨床上,常見全家或國小校園同一班級內輪流感染達數月之久,黴漿菌肺炎才告終了。
統計上,一歲以內的寶寶,已有百分之三十左右受過其感染而產生抗體:五歲時,已有三分之二的幼兒有抗體:成人則幾乎全部都有抗體。每年約有百分之十左右的兒童會受到感染,尤以學齡孩子最多。黴漿菌肺炎感染沒有終生免疫性,可能會發生第二次,甚或反覆感染,且症狀可能變得更明顯、更嚴重。其中約四分之一到一半被黴漿菌感染的人並不會出現明顯的臨床症狀。
臨床上,最初出現頭痛、發燒、喉嚨痛、全身無力等的症狀,二到五天以後咳嗽跟著來 ,剛開始大多沒什麼痰,後來才出現白色黏痰或帶有血絲的膿痰,可以持續到三、四周,有時甚至引起肺積水。其他同時會出現的症狀還有寒顫、咽喉炎、耳痛、嘔吐、腹痛、結膜炎、皮膚疹等等。值得注意的是兒童比大人更容易會發高燒。但是一般流鼻水現象並不常見,在乳幼兒感染時比較容易看見到。
肺炎黴漿菌的感染,最常見的是「肺炎」,表現以「非典型肺炎」方式與典型細菌型肺炎高燒、咳嗽不盡相同。約四分之三肺炎黴漿菌肺炎的患兒呼吸音在聽診時會有異常,另有少部分病兒,雖然聽診是正常的,但胸部x光卻異常。胸部X光的變化並沒有一定的表現,且有時候和臨床症狀不相吻合。 例如,有的病兒看起來滿輕鬆的,但 X光卻顯示出肺炎程度厲害:有些患兒做聽診等檢查時,覺得肺炎應該很嚴重, X光照起來卻不如想像中那麼糟糕。
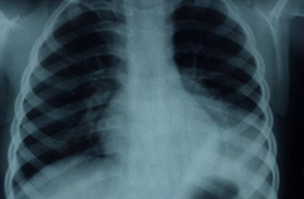
黴漿菌性肺炎合併左下肺肺積水
三歲幼兒以高燒不退,嘔吐厲害,輕微咳嗽表現,所照x光。
黴漿菌性肺炎的特色是病童出現頓音型咳嗽,較一般感冒咳嗽聲來得重,持續時間長達一個月,年紀小的孩子多以肺炎表現,20%會出現肺積水的現象,大一點的孩子則以黴菌性氣管炎表現,不斷喘咳、或有或無發燒。
極少數病例會因黴漿菌跑至腦部或心臟,造成無菌性腦炎、腦膜炎或心肌發炎。
治療上只要投以紅黴素治療一至兩週,並予支持性療法,多能痊癒。家中有成員罹患時,最好能適度隔離,以免傳給他人。
治療
黴漿菌肺炎有效地治療可使用紅黴素或四環黴素10到14天,大部分的病人在治療後會很快退燒,症狀也有減輕。但四環黴素可能會傷害到正在發育中的骨骼與牙齒,所以不建議在八歲以下的兒童使用。
紅黴素的使用則有10%到20%的比率會出現嘔吐、腹部疼痛、腹瀉等腸胃道的副作用。有些病人這種副作用有時會很強烈無法忍受。但是最近發展出來了一些類似紅黴素的巨分子(macrolide)抗生素,如(日舒) azithromycin等組織中的半衰期特別長,不但只需要一天口服一次,而且只需要服藥3到5天。腸胃副作用較少、半衰期較長、與theophylline等藥物的交互影響較少,治療效果則顯著。
黴漿菌性肺炎(榮總)
Mycoplasma pneumoniae 黴漿菌(邱奕懋)


